Стоматологическая клиника
Стоматолог-Эксперт

Протезирование зубов

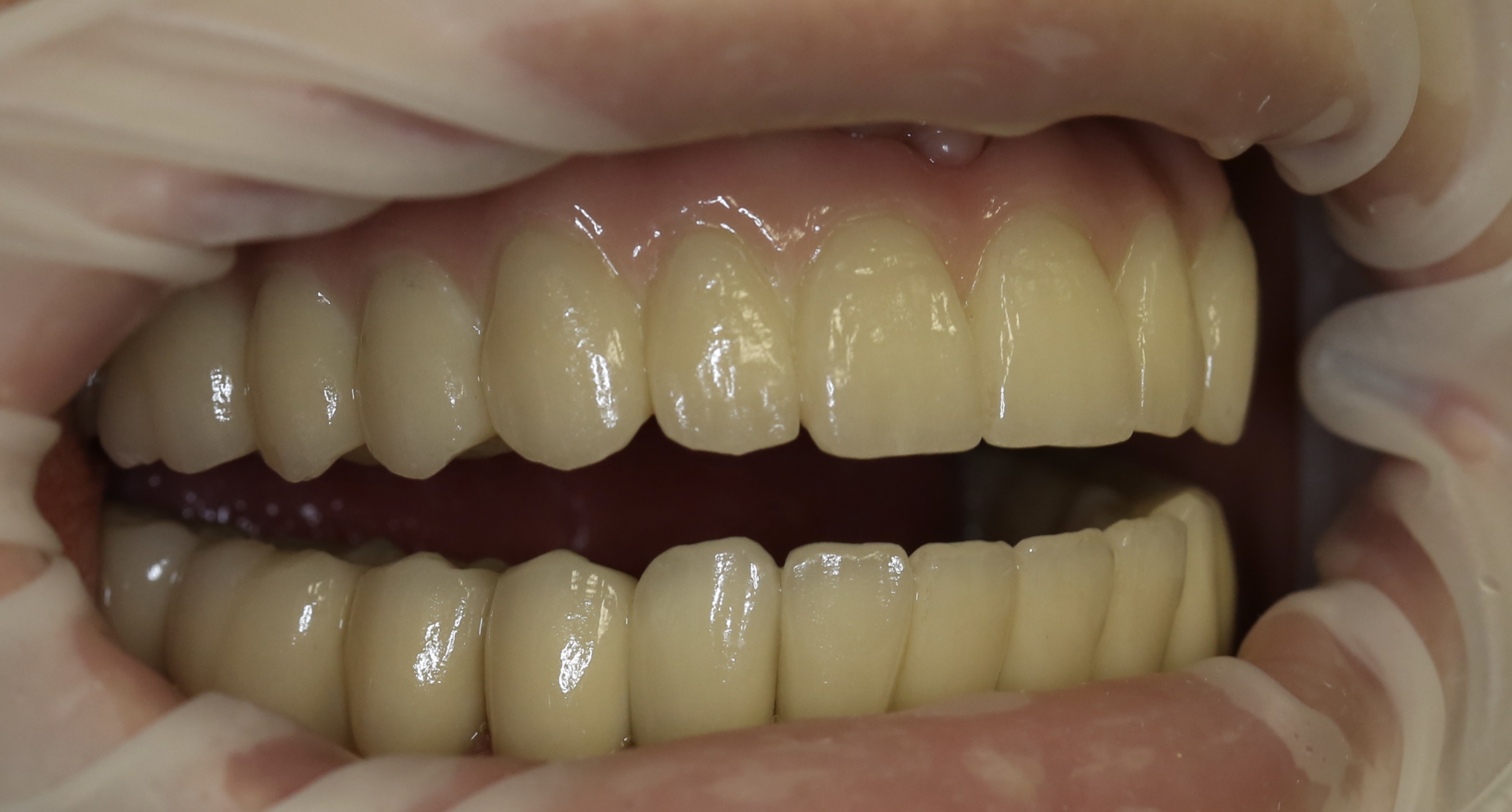
Стоматологическое протезирование зубов предполагает восстановление функциональности и эстетичного внешнего вида зубного ряда с помощью различных типов протезов. К нему прибегают как при потере одной-двух зубных единиц, так и при полной адентии – отсутствии всех зубов.

Виды протезирования

В зависимости от варианта фиксации существует 3 типа протезирования: съемное, несъемное и комбинированное. Каждый их них имеет показания и противопоказания, а также обладает своими преимуществами и недостатками.

  • Несъемное протезирование. Конструкция жестко фиксируется в полости рта. Пациент носит ее постоянно. К несъемным протезам относят одиночные коронки, мостовидные конструкции и микропротезы (вкладки, штифты, виниры и люминиры). Крепиться они могут с помощью специального цементирующего состава, а если перед протезированием проведена имплантация, то соединение искусственного корня и коронки происходит с помощью абатмента.
  • Съемное протезирование. Стоматологическую конструкцию пациент может самостоятельно снимать и устанавливать. Съемные протезы могут быть полными – замещающими весь зубной ряд. К верхней челюсти они крепятся с помощью специального состава или эффекта присасывания, а на нижней удерживаются, опираясь на естественные анатомические выступы – альвеолярные отростки. Неполные съемные протезы устанавливают при отсутствии нескольких зубов подряд. Они фиксируются с помощью кламмеров – железных или пластмассовых крючков.
  • Комбинированное протезирование. Такая конструкция содержит элементы съемного и несъемного протезирования.

Цена на услуги протезирования зубов зависит от следующих факторов:

  • объема подготовительных работ (в том числе лечения);
  • вида протезирования;
  • используемых материалов и пр.

Узнать, сколько стоит конкретная услуга, можно на консультации или по телефону.

Показания

Этапы подготовки к установке протезов

В процессе установки протезов обычно участвуют три стоматолога-специалиста: ортопед, терапевт и хирург.

  • Стоматолог-ортопед на первичном приеме осматривает пациента и назначает рентгенографию. На основании снимка он может уже предложить варианты протезирования. При необходимости перед протезированием он направляет пациента на санацию к стоматологу-терапевту.
  • Стоматолог-терапевт проводит полную санацию, убирает зубные камни и налет. Перед протезированием не должно остаться ни одного очага хронической инфекции. Особенно это важно, если предполагается имплантация или установка несъемных протезов.
  • Стоматолог-хирург проводит свое лечение, в том числе удаление корней и зубов, не подлежащих восстановлению.

В зависимости от типа протезирования дополнительно может понадобиться помощь стоматолога-имплантолога. При атрофии костной ткани он проведет операцию по ее наращиванию (синус-лифтинг), а после определенного промежутка времени установит имплантат. На него впоследствии будет фиксироваться коронка или протез.

Уход за зубами

Уход за протезами обычно не вызывает затруднений. Если установлена несъемная конструкция, достаточно 2 раза в день проводить чистку зубов, а после еды применять флосс и тщательно ополаскивать рот. Если пациент пользуется съемной конструкцией, то за ней потребуется дополнительный уход, кроме регулярной чистки оставшихся зубов. Съемный протез также следует чистить после еды. При этом нельзя использовать зубные щетки со слишком жесткими ворсинками и пасту с абразивными частицами. Они могут повредить поверхность протеза. Идеальный вариант – подбор ухаживающих средств вместе с врачом. Ночью зубной протез можно держать в специальном дезинфицирующем растворе, рекомендованном стоматологом.

Преимущества обращения в клинику «Стоматолог-Эксперт»

Недорогое протезирование зубов в Москве можно пройти в клинике «Стоматолог-Эксперт». Наши преимущества:

  • комплексное обследование и лечение зубов с привлечением всех необходимых специалистов;
  • индивидуальный подход;
  • собственная зуботехническая лаборатория;
  • квалифицированные врачи с большим опытом работы, владеющие всеми техниками протезирования;
  • современное оборудование и качественные материалы для изготовления стоматологических конструкций разной сложности;
  • доступная стоимость протезирования зубов.

Мы проводим полное протезирование зубов и устанавливаем частичные конструкции.

Частые вопросы

Вопрос:
Сколько стоит протезирование зубов у вас, если подготовительный этап начинал делать в другой клинике?
Ответ:
Все зависит от объема необходимых работ. Приходите на консультацию. После осмотра врач определит тактику лечения и озвучит Вам стоимость.
Вопрос:
Можно ли у Вас сделать недорогое протезирование зубов, но чтобы протез был несъемный?
Ответ:
Да, конечно. Мы можем предложить Вам протезирование на имплантах. Стоимость будет зависеть от объема работ (количества зубов, которые потребуется заменить протезом).

Отзывы

Гайдук Станислав, юрист

Я в свое время побывал у многих специалистов, в том числе в Москве. Но пока лучшее стоматологическое лечение получаю здесь. Уже протезировал 4 передних зуба. На очереди жевательные

 

Сафонова В., бизнесмен

Хочу выразить благодарность стоматолог-эксперт за услугу протезирования зубов! Качество на высоте, персонал внимательный и вежливый.

Все отзывы

Врачи отделения

Все врачи

Цены

Протезирование зубов
Изготовление индивидуального абатмента 11000,00 руб
Изготовление индивидуального циркониевого абатмента 20000,00 руб
Изготовление безметалловой коронки I-max 36000,00 руб
Изготовление коронки (зуба) цельнолитой 6000,00 руб
Прототип зуба (восковой) 1 единица (wax-up) 1300,00 руб
Изготовление вкладок из бескаркасной керамики 26000,00 руб
Изготовление коронок из бескаркасной керамики 32000,00 руб
Изготовление виниров из бескаркасной керамики 32000,00 руб
Изготовление вкладок "Cerec" 28000,00 руб
Изготовление коронок "Cerec" 36000,00 руб
Изготовление виниров "Cerec" 32000,00 руб
Снятие слепков (силикон) 1300,00 руб
Снятие двойного слепка (силикон) 2000,00 руб
Снятие слепков (альгинат) 650,00 руб
Использование силиконовых шаблонов для регистрации прикуса 650,00 руб
Прикусной шаблон 650,00 руб
Индивидуальная ложка 1300,00 руб
Наложение лицевой дуги 3900,00 руб
Починка протеза 2000,00 руб
Стоимость 1гр. спец.сплава 6500,00 руб

Работы наших врачей

Клиенты о нас

Запишитесь на прием

Нажимая кнопку “Записаться”, я принимаю условия политики обработки персональных данных и даю согласие на обработку персональных данных

Я даю согласие на получение рекламных и информационных рассылок


Обратная связь